套餐及收费
-
用另一种方式保护人民群众 他是第18位捐献造血干细胞的上海民警
2026-02-01 -
安然纳米植物干细胞项目正式投资落户上海签约仪式
2026-01-31 -
胃肠道间质瘤(GIST)
2026-01-15 -
单倍体移植治疗儿童MLL-r B-ALL与化疗相比可改善预后
2026-01-13 -
青海省成功完成首例父供儿造血干细胞移植
2026-01-11 -
最新!上海科学家首次发现细胞中的“暗物质”功能演变
2026-01-09 -
专家观点:聚焦造血干细胞移植
2026-01-03 -
威海市红十字会关于开展造血干细胞采样的公告
2025-12-29 -
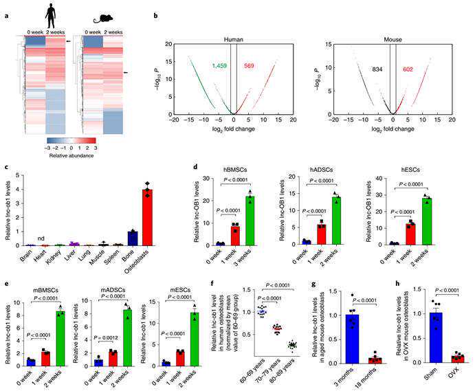
身体里的第四个肾
2025-12-25 -
miR-889-3p靶向Runx2抑制脂肪间充质干细胞的成骨分化
2025-12-16 -
荐读 | Science Café第48期:细胞基因治疗与监管科学
2025-09-21 -
笔记:细胞基因疗法,高瓴的重仓
2025-09-21
已经是最底部了~
























