铲屎官们是否遇到过原本健康的猫咪突然食欲下降,精神萎靡不振、嗜睡,偶尔还会有呕吐的症状,然后将猫咪送往医院检查,却被告知其有肾衰竭症状的情况呢?
这时候,你一定会想:我家猫咪好好的怎么就会肾衰竭呢?我有带它定期去打疫苗,也有做好驱虫,实在想不明白它到底是怎么得病的。

其实猫咪患肾衰竭可能是多囊肾病在作祟,并不是因为铲屎官没照顾好它们,而是它们打一出生就患了病,只不过没有表现出疾病的临床症状,依旧能够与正常猫咪一样生活着。
那什么是多囊肾病,又是如何将猫咪害成肾衰竭的呢?
猫多囊肾病,简称PKD,又名先天肾囊肿瘤病、囊包肾、双侧肾发育不全综合征、肾脏良性多房性囊瘤、多囊病,是一种缓慢发展的常染色体显性遗传性肾病。这种疾病多发生于纯种长毛猫身上,较少发生在狗狗中。
患病的猫咪在出生之时,肾脏中就已经存在这些囊肿,只不过由于直径较小,并不会表现出临床症状。而且它们幼年时候的肾脏外形与健康猫咪相比都基本正常,只有少部分患病猫咪的肾脏会稍大些。

随着患病猫咪年龄的增长,囊肿的数目及大小就逐渐不断的增多和增大,然后压迫肾脏及周围的肾脏组织,导致肾脏缺血。又因为肾脏的结构受到损害,所以肾细胞死亡,减少产生尿的肾单位数目。最终因为肾小球硬化、小管萎缩、间质纤维化等原因,导致猫咪肾衰竭甚至死亡。

患病猫咪急剧长大的肾脏还会压迫腹腔中别的器官,尤其是消化器官,然后造成它们进食困难,从而让身体无法得到足够的营养对抗疾病。
一般来说,患病猫咪的年龄在5至7岁时,它们的肾脏功能才会受到可察觉的影响。当然也有例外情况,有少部分患病猫咪年纪轻轻就受到严重影响,很快就会出现肾脏机能下降乃至衰竭。

经过研究证实,大多数猫多囊肾病属于"AD-PKD",是一种常染色体显性遗传性疾病。所谓的染色体显性遗传,就是患病猫咪的父母至少有一方是患病的,而两只没有PKD基因的猫咪后代是不可能出现这种疾病的。

如果一只猫咪带有PKD基因,无论是携带单一的PKD基因,还是携带双PKD基因都同样会发病。如果父母一方带有单一的PKD基因,而另一方没有,那么繁殖出的小猫咪就有50%的概率患病。
如果父母双方都带有单一的PKD基因,繁殖出的小猫患病几率为75%。如果父母一方携带的是双PKD基因,那么无论另一方是任何基因型,繁殖出的后代都是100%的患病率。

之前提到过,猫咪患多囊肾病的早期,因为囊肿直径较小而且数量较少,一般不会产生临床症状。
猫咪一旦发病,就会表现出尿频、喝水频繁、食欲减退、无精打采、体重减轻,背毛稀疏等情况。随着猫咪肾衰竭的程度增加,它还可能出现呕吐、腹泻、贫血、血压过高、神经系统出问题等现象。

患病的猫咪最容易患有下泌尿道疾病。有少部分患有多囊肾病的猫咪会并发肝脏囊肿、胰腺囊肿或子宫囊肿,也就是说它们的肝脏、胰腺以及子宫上都有囊肿的存在了。
又因为猫多囊肾病会影响肾脏尿液收集系统,尿液容易潴留,猫咪肾脏感染的几率也会比较高。等猫咪的病情发展到晚期,除了常见的慢性肾病症状,猫咪还会因为肾中的包囊破裂、增大感受到剧痛。

体格检查和常规数据都不足以证实或驳倒PKD的早期诊断,因为猫咪的肾会保持其正常的大小和轮廓。随着它病情的发展,囊胞的体积增加,肾的体积就会开始增大,这就可以经体格检查发现。
如果猫咪的病情严重了,在某些严重的病例中,由于囊胞会突出肾的表面,引起轮廓变形,通过体格检查也是可以检查到的。如果慢性肾功能衰竭继续发展,通过血液检测也可以检查出猫咪患病的事实。但凭血液检查并不能确定猫咪引起肾衰的就是多囊肾病。

X射线可能会有用,也可能没有用,这要取决于猫咪的年龄及疾病的发展程度,患有PKD的猫咪年龄越大,肾的体积也会越大,这样就可以用X光检测出来。
静脉注射染料可以使泌尿系统在X光下更亮,可这项检测在病症早期并没有什么效果,只有在病情发展后期,染料才会使整个肾内众多的囊胞显现出来。

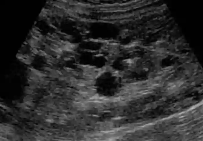
想诊断多囊肾病,用超声波是最快捷的。B超的局限在于没法探查过小的囊肿。在患病猫咪出生之时,肾脏中的囊肿可能只有1mm或者更小,在大小超过2mm之前,一般是难以被察觉的。
在经验丰富的医师手上,B超的准确度不输基因检测,早至两个月大就可以查出猫咪是否患有多囊肾病,但这对医生的水平要求太高,往往不实际。所以用b超检测多囊肾最好等猫咪9至10个月之后,这时候的准确度大致能达到91%到98%。

基因检测不需要抽取猫咪的血液,只要进行口腔采样就可以判断猫咪是否携带多囊肾基因。前面说过,猫多囊肾病来自于PKD1基因突变,而这类突变多是出现在波斯猫相关的品种上,其他品种的猫咪就不一定了。
一些猫咪患上多囊肾跟这种变异并没有关系,比如缅因猫就是如此。所以说,基因检测对于有繁育计划的猫舍必不可少,但对于和波斯猫无关系的品种来说,只靠基因检测是行不通的。

现如今的对于多囊肾病并没有明显有效的治疗手段,患病猫咪一旦出现肾衰竭,医生一般采用常规方法延缓慢性肾病的过程进行治疗。
一、饮食中的蛋白质检测,选用高生物价值的蛋白质来控制摄取适度的蛋白质。
二、饮食中对磷的限制,提供新鲜的磷酸盐结合剂的饮用水,以降低血清磷浓度。

三、肾脏囊肿若出现二次性细菌感染,需要适当的抗生素治疗。
四、通过药物控制蛋白尿,利用降压药控制高血压。
五、在必要情况时,需对症治疗贫血。
多囊肾病的发展速度因猫而异,对于猫多囊肾病的治疗方式需要具体根据猫咪的病程遵循医嘱进行。

对于已经检测出多囊肾的患病猫咪,铲屎官最需进行的事就是根据病况带猫咪定期复查来监控其病情的发展,并通过周期性的超声检测、尿检、血常规、血压等进行多次的复查。
如果铲屎官家中养的猫咪品种是容易患有多囊肾病的,请务必定期带着它去医院进行体检,做到早发现、早治疗。一旦猫咪患上多囊肾病,尽量杜绝其进行繁殖,避免产生的后代也同样患病。























