术语
缩写
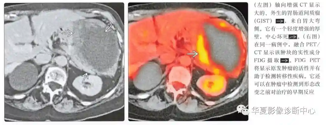
胃肠道间质瘤(GIST)
定义
来自Cajal间质细胞的胃肠道(GI)黏膜下肿瘤
影像
一般特征
最佳诊断线索
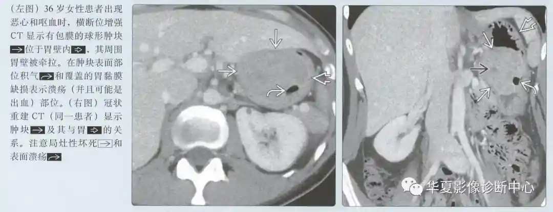
边界光整,黏膜下层肿块向消化道外生性生长
位置
胃是最常见的部位(2/3的病例)
小肠(特别是十二指肠)是第二常见部位
可能发生在胃肠道的任何地方
很少发生在食管
平滑肌瘤在食管中更常见
大小
可变;大肿块可能5cm
形态
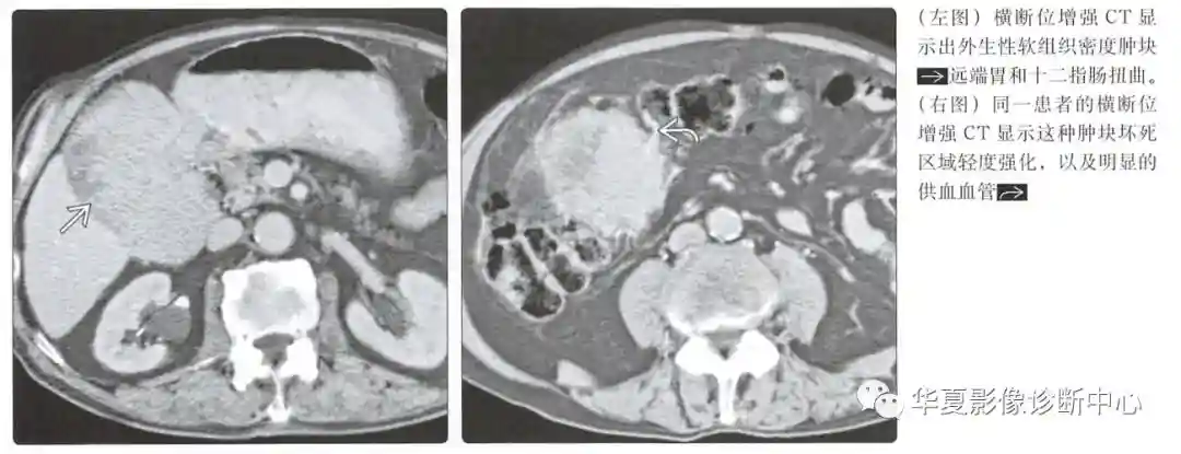
体积庞大、界限清晰、分叶状
通常是外生的,可能有囊性成分
透视表现
上消化道造影
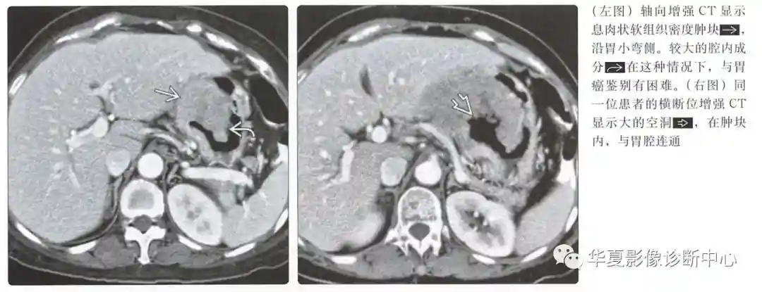
圆形,外生性黏膜下胃肿块
溃疡在较大的肿块中很常见
肿瘤的中心坏死可能充满钡餐
CT发现
平扫CT
25%的病例发生钙化
增强CT
动脉期图像呈低或高血供,边界清楚的黏膜下肿块;溃疡和坏死是常见的
灵敏度=93%,特异性=100%
具有大的腔内成分的肿瘤可能类似原发性胃癌
MR发现
T1WI
等信号(类似肌肉)肿块
T2WI
低信号至等信号黏膜下肿块
高信号的坏死区域
T2*GRE
静脉注射钆时为高或低信号
增强T1WI
血供变异较多;可能是高血供或低血供
实性区域强化

坏死或出血性区域不增强
超声表现
灰阶超声
低回声肿块
彩色多普勒
彩色多普勒上的血管情况可变
核医学表现
PET
预测对伊马替尼(格列卫)的早期反应优于CT
高代谢(FDG-摄取)病灶提示存活肿瘤
原发性肿瘤和转移瘤均为高代谢
敏感性(86%),特异性(98%)
成像推荐
最佳影像方案
增强CT、PET
推荐检查方案
在CT扫描前用16~32盎司的水充盈胃
使用双期增强CT技术来显示整个肝
以4~5ml/s注射150mlⅣ对比剂
动脉期40秒,静脉期70秒时采集
多平面重建
有助于观察肿块的大小和起源
鉴别诊断
胃淋巴瘤
钡餐检查时结节状皱壁增厚
无肠梗阻的外生性肿块
伴有肠系膜和腹膜后肿大淋巴结
体积庞大,常为外周黏膜下肿块
可能会有溃疡
可能与GIST无法区分,但与GIST不同,淋巴瘤很少富血管
肉瘤侵犯胃
巨大的肿块
增强CT上的不均匀密度
脂肪肉瘤含有脂肪
继发性肠道侵袭可能会类似GIST
原发部位位于肠系膜有助于鉴别
与GIST不同,肠梗阻很常见
外生性胃癌
低密度肿块,血管少于GIST
CT或MR可能体积庞大且外生
邻近胃壁的局灶性增厚和胃出口阻塞可以帮助区分GIST
环周性生长时通常会造成梗阻
GIST很少是环周性的
其他胃内肿瘤
例如,平滑肌细胞瘤、淋巴管瘤、神经瘤
脂肪密度是诊断脂肪瘤的关键
其他肿瘤可能无法单独通过影像与GIST区分开来
病理
一般特征
病因
未知
遗传学
95%的GISTs表达生长因子受体酪氨酸激酶活性【c-KIT(CD117)】
胚胎学
间充质起源,与平滑肌瘤或平滑肌肉瘤无关
源自Cajal的干细胞或间质细胞
Cajal间质细胞调节蠕动活动(起搏器功能)
相关异常
卡尔尼三联征
恶性上皮性胃GIST
肺部软骨瘤
肾上腺副神经节瘤
VonRecklinghausen病
神经纤维瘤病1型
分期、分级和分类
4种肿瘤亚型
良性梭形细胞GIST
恶性梭形细胞GIST
良性上皮GIST
恶性上皮GIST
直视病理特征
大的黏膜下肿块
良性病变通常很小(3cm)
中心溃疡常见
恶性特征包括侵犯,大小5cm,并有转移迹象
显微镜下特征
与平滑肌瘤/肉瘤不同,不同源
不能单独使用光学显微镜诊断
良性或恶性间充质梭形细胞或没有肌细胞分化的上皮样肿瘤
恶性特征
高有丝分裂率(每50个高倍视野10个有丝分裂)
高分化
高细胞密度
临床问题
临床表现
最常见的体征/症状
恶心、呕吐、体重减轻
大的肿块的占位效应
心当胃表面和GIST溃烂时,消化道出血
临床特征
没有特定的实验室异常情况
人群分布特征
年龄
45岁
性别
没有差别
流行病学
胃肠道最常见的间充质肿瘤
自然病史及预后
转移到肝、肺、腹腔
完全切除良性病变的预后良好
转移和c-KIT突变患者对化疗(伊马替尼【格列卫】)的反应良好
5年生存率:50%~80%
预后通常取决于肿瘤大小
如果肿瘤5cm,则相对较差
治疗
整块切除手术
酪氨酸激酶抑制剂化疗(伊马替尼)治疗转移性疾病
即使对局部疾病,伊马替尼也可能是有用的辅助药物
诊断要点
淋巴瘤可能具有相似的成像特征,但不是富血供
读片要点
来自黏膜下层并伴有中心溃疡的外生性富血供胃肠道肿块





文章摘自《消化影像诊断学》

【版权声明】本平台属公益学习平台,转载系出于传递更多学习信息之目的,且已标明作者和出处,如不希望被传播的老师可与我们联系删除























