火锅
寒冷冬季必选美食
然而
你绝对想不到
火锅也可能威胁生命

前段时间,46岁的建筑工人朱先生趁着发了工资,下班路过菜市场顺路买了些猪肉、羊肉回到群租房,想自制一顿麻辣火锅,再配点小酒,消除下搬砖一天的疲劳。
没想到过了一段时间,朱先生白天时常觉得头晕、头顶胀痛,并且半夜熟睡状态中出现肢体抽搐、口吐白沫等癫痫症状。
浙江省医学会热带病与寄生虫病分会主任委员、浙江大学第一附属医院感染病科副主任黄建荣主任医师接诊了朱先生,经过仔细问诊后,考虑到前不久吃过火锅涮猪肉、羊肉,建议他查头颅磁共振。
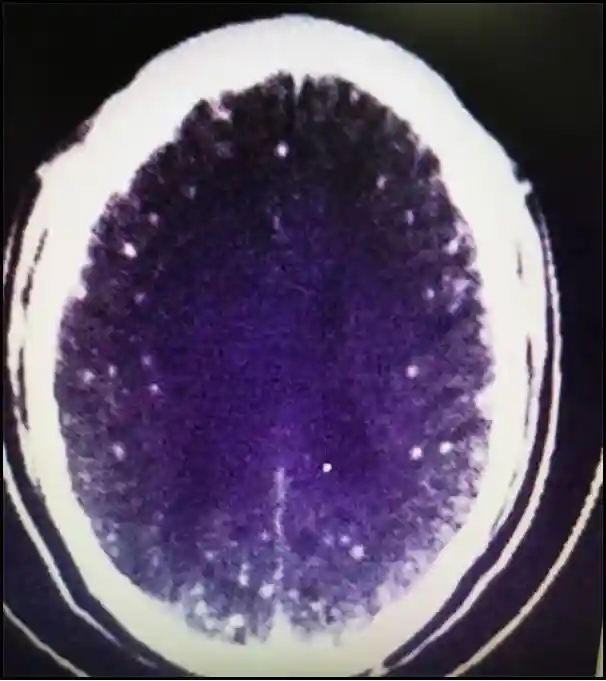
结果发现,两侧大脑半球多发病变,结合血和脑脊液中囊虫抗体阳性,诊断为脑囊虫病。

颅内CT显示有多个白点病变
但让朱先生想不通的是,为什么自己吃了顿火锅,大脑就变这样了?
黄建荣主任医师解释道,问题不是出在火锅本身,而是涮的猪肉、羊肉可能本身有猪囊尾蚴虫寄生,然后吃火锅时,肉没有涮熟透,导致猪囊尾蚴虫通过消化道进入了脑子。
“肯定是这样!那些肉我就随便涮了下,麻辣锅底本来就是红通通,也压根看不出肉熟透了没,我就很心急地吃了下去。”朱先生一听解释,马上就想起来。
所以说,吃火锅,一定要煮熟!这一步非常关键!

很多寄生虫,都是吃出来的!
生活中不乏出现因疏忽而感染寄生虫的情况。尤其是下面这些吃法,感染概率大!比如:
喜欢吃醉虾醉蟹:肺吸虫
《舌尖上的中国》让江浙一带的醉蟹火遍全国,但你也别小看其中隐藏的危害。
宁波市疾病预防控制中心寄生虫病与地方病防治所所长张劼楠在2013采访时说:“宁波市每年都会查出60~80例肺吸虫病,其中大部分是吃醉蟹、醉虾导致的。”

肺吸虫不仅破坏我们娇嫩的肺,而且也会钻到大脑里。不过幸运的是,只要能确诊,吃杀虫药两三天就好了。
喜欢吃生鱼片:肝吸虫
鱼类最容易被肝吸虫感染而传染给人。
我国广东省是肝吸虫病的高发地。据广东省卫生厅疾病预防控制处的数据显示,仅在1990年至2004年间,广东约500万居民感染肝吸虫病。
中山大学附属三院营养科主任卞华伟在2013采访时提醒,淡水鱼中更易有肝吸虫卵,少吃淡水鱼的生鱼,而吃三文鱼等海鱼,也要选择切鱼时“一种鱼一个砧板”的饭店,因为可能厨师在切完淡水鱼后,刀和砧板沾上虫卵,再切三文鱼等海鱼,就把虫卵“人工移植”到海鱼上。
喜欢吃蛙肉或蛇肉:曼氏裂头蚴
道,2018年时广东曾有一个小女孩的颅内取出一条长约9厘米的裂头蚴活虫。医生怀疑与喝生水,或吃了未经煮熟的青蛙和蛇有关。
曼氏裂头蚴进入我们身体,甚至会寄居在大脑和眼部,造成失明、瘫痪等。
这种虫子会寄居在蛙类和蛇类体内,一般爆炒也不会死,只有在沸水滚煮5分钟的情况下才能彻底杀死这类寄生虫。
喜欢吃不熟的牛肉:绦虫
这不是绳子,这是南宁303医院检验科实验室从消化科病人体内排出后送来的标本中找到的牛带绦虫!

一般大型养殖场的牛羊肉有检验检疫保证,但生活中也有不少自家养猪牛羊的,就可能接触到绦虫卵。喜欢吃不熟的牛肉的人,被牛带绦虫盯上的风险会高。
喜欢吃地摊小螺:管圆线虫
好几年前闹的沸沸扬扬的“福寿螺事件”,主角就是管圆线虫。其实不仅仅是福寿螺,东风螺也可能会携带管圆线虫。管圆线虫最喜欢停留在我们的神经系统中,导致恶心、呕吐等,甚至休克、死亡。

喜欢吃黄鳝:颚口线虫
据浙江在线报道,浙江省医学科学院寄生虫病研究所曾从病发地较多的地方采购了10斤黄鳝,结果总共分离出了整整250条活的颚口线虫。
当然,这不是说黄鳝完全不能吃,而是一定要烧熟了吃。该研究发现在70℃以上高温下,加热4~5分钟,黄鳝体内的颚口线虫就可以被消灭。

浙江省医学科学院寄生虫病研究所工作人员马安在接受浙江在线采访时提醒,除了黄鳝,还有泥鳅、黑鱼、汪刺鱼、鲶鱼、鳗鱼里也有这种虫子。所以,吃这些水产时必须烧熟。此外,饭店喜欢猛火快炒鳝丝鳝段,藏在鳝段内的颚口线虫很可能没被杀死。而腌制、酒泡等,就更是不能成功杀灭颚口线虫了。
远离寄生虫,记好3句话
1、正规场所购买食材
卖肉要到规场所,有检验检疫保证。不要随便吃野外的各种野味。
2、彻底加热
烹调时肉一定要熟透,吃生鱼片一定要到正规地方。
3、生熟要分开
生熟食物,无论是存放,还是切割,都要注意分开,避免生熟食交叉污染。
比如刀具、砧板、碗盘等器皿生熟要分开使用,不得混用。放生食的必须清洗消毒后方可再使用。

实习:雷雯雯、周静圆、张冬月























