

1.资料:对在玉溪市第一人民医院1例COVID-19感染的重症肺炎住院患者进行MSC静脉移植治疗临床研究(医院伦理委员会批准号:2020伦审L第1号)。患者为女性,70岁,有多年高血压病史。曾于2010年1月19日接触过来自武汉的亲属,2020年1月30日出现无明显诱因的阵发性咳嗽被送医院治疗,次日咽拭子样本检测结果报告为2019-nCoV阳性,CT检查显示肺部感染征象,确诊为2019-nCoV感染肺炎。患者住院期间的主要身体指征和治疗情况见图1、表1,除了不断出现咳嗽症状以外,还间断性地出现乏力、发烧、腹泻和胸闷等症状。患者在入院第6~14天出现不同程度的呼吸衰竭症状,在第6~9天,患者血液中proBNP、Lac等反映组织损伤的多个标志物明显升高。炎症因子IL-6、CRP以及中性粒细胞计数和中性粒细胞/淋巴细胞比值也随之显著升高,2月5日、16日复查CT影像显示双上肺、双下肺片状密度增高影,双肺病变呈进行性加重趋势。2月19日。经专家会诊后诊断为新型冠状病毒肺炎(危重型)。针对患者的这些症状,除了抗病毒和抗感染治疗以外,还进行了高流量鼻导管氧疗等支持治疗。随后依据国家卫健委最近发布的《新型冠状病毒肺炎诊疗方案(试行第六版)》,增加了阿比多尔和磷酸氯喹进行抗病毒治疗。

图1:患者住院期间的基本症状和治疗情况

表2:患者住院期间的主要血液生化指标
2.方法:细胞制备和移植:由云南雅盛医疗科技有限公司、云南济慈再生医学研究院有限公司、深圳市北科生物科技有限公司联合免费提供临床级hUC-MSC(中国食品药品检定研究院检定合格报告编号:SH201401060)。在原治疗方案的基础上,分别于2月20、23、26日按1×106个细胞/kg体重的剂量及约40滴/min的速度静脉滴注细胞。观察指标:包括主要安全性指标(输注和变态反应,继发感染和危及生命的不良事件)和主要功效指标(细胞因子变异水平,血浆中C反应蛋白水平和血氧饱和度),次要疗效指标(患者症状和体征,淋巴细胞亚群绝对计数分析,胸部CT)。
结果患者在接受细胞治疗期间仍然维持常规治疗方案,未出现与细胞治疗相关的不良反应,见图1、表1。干细胞治疗期间,患者的淋巴细胞数量不断回升,尤其是T细胞计数(包括CD4+T细胞和CD8+T细胞)明显回升直至正常水平,NK细胞和B细胞计数也持续回升;与之相对应的是,中性粒细胞/淋巴细胞比值持续下降,主要的炎症因子IL-6和CRP水平持续下降,见图2。干细胞治疗后患者肺部炎症反应明显减轻,见图3。

图2:患者住院期间血液中的免疫细胞、IL-6和C反应蛋白的变化情况

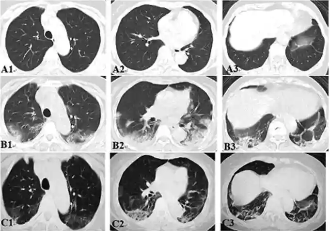
图3:患者治疗前后肺部CT
讨论新冠肺炎轻中症患者的致死率相对较低,而重症和危重症致死率较高,是临床治疗的重点,目前有多种抗病毒的药物相继在开展临床试验。但从临床实践看,对于重症和危重症患者,除了抗病毒以外,迅速抑制肺部的炎症反应、改善患者的呼吸状况可能是救治的关键。糖皮质激素等免疫抑制药物有诸多的副作用,并且会损伤患者的抗病毒免疫反应。因此,寻找既能抑制炎症又不影响患者免疫能力的疗法至关重要。本例研究结果显示在干细胞输注期间,炎症反应和炎症因子明显降低,而患者的淋巴细胞尤其是T细胞和NK细胞的数量却在不断地回升,提示这是一种有前景的治疗方法。结合当前对新冠肺炎的认识及笔者之前的报道,笔者推测人异体脐带间充质干细胞主要可能通过以下几个方面使新冠肺炎笔者获益:
(1)损伤组织的归巢和修复,主要可能是通过分泌促进组织再生的因子来实现;
(2)抑制炎症反应,主要可能是通过分泌抑制炎症的因子,以及表达IL-6、G-CSF等炎症因子受体的中和作用降低炎症;
(3)上述作用为中性粒细胞的下降和淋巴细胞的增殖提供了良好的环境。这些效果与抗病毒药物或者提升淋巴细胞数量和功能的药物联用,为最终清除病毒提供了帮助。此外,除了IL-6,笔者发现患者血液中的IL-2、IL-4、IL-10、TNF-α和IFN-γ等因子并无明显的升高。从笔者的结果中也可以看出,相对于单一种类的细胞计数,中性粒细胞/淋巴细胞的比值可能是反映新冠肺炎患者炎症状况的更好指标,这与其他课题组的报道基本一致。从CT影像的结果也可以看出,单纯的使用抗病毒药物对于迅速改善肺部的炎症效果不是特别理想,需要与脐带间充质干细胞输注等损伤修复的疗法进行联合。
总之,尽管本文只是个例探讨,但结合笔者和其他课题组之前的研究结果,笔者认为脐带间充质干细胞在新冠肺炎重症和危重症患者的救治方面具有重要的应用前景。























